Cystectomy- Ovarian Dermoid Cyst
Symptoms
A 20 year old woman presented with a history of intermittent severe sharp shooting pelvic pain.
Diagnosis
A pelvic ultrasound revealed a 45mm left ovarian dermoid cyst. It is unusual for a dermoid of this size (considered small) to result in pain.
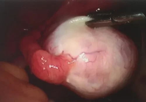
Procedure
She subsequently underwent laparoscopic left ovarian dermoid cystectomy. The pathology revealed a benign dermoid cyst with a molar tooth. This large area of sharp calcification is likely to have caused the pain.
Outcome
The pain resolved post operatively.
